RUVIDEO

Гипертрофированная колонна Бертина (паренхиматозная перемычка) смотреть онлайн

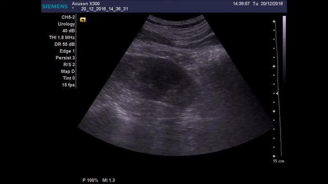
ОПИСАНИЕ: почечный синус справа имеет расщепленное строение, просвет ЧЛС сомкнут. ЗАКЛЮЧЕНИЕ: Нельзя исключить аномалию развития - удвоение правой почки. Видео ультразвукового исследования к лекции "УЗД опухолевидных образований органов мочевыделительной системы" - https://medprinting.ru/lekciya-ultrazvukovaya-diagnostika-opuholej-organov-mochevydelitelnoj-sistemy
 
 
Рады приветствовать вас в нашем кинозале, у нас собрана огромнейшая база видео файлов и вы всегда сможете найти любой фильм на свой вкус и увидеть его совершенно бесплатно и не нужно регистрироваться. Онлайн просмотр кино стало любимым времяпрепровождением для все киноманов, ведь не всегда есть время, чтобы посетить кинотеатр, но мі собрали огромную базу видео и фильмов, сериалов, мультфильмов для онлайн просмотра. Ваш отдых - это наша работа, мы пополняем нашу базу регулярно и только лучшими и кассовыми фильмами, и все это у нас бесплатно и без регистрации. Наша задача обеспечить просмотр ваших любимых фильмов с максимальным комфортом, без рекламы и в любое удобное для Вас время. У нас собраны лучшее из коллекций всемирного кинематографа онлайн, вы можете смотреть фильмы бесплатно без регистрации , выбирая любимый фильм из нашей коллекции, которая включает в себя копии мировой классики и последние кино новинки. Все посетители выбирая наш сайт смогут найти киноленту по своему вкусу и начать просмотр с удовольствием. Для просмотра видео используются любые онлайн - браузеры установленные на вашем компьютере. Все, что необходимо, чтобы смотреть фильмы онлайн - это хорошее настроение! Не забываемого вам пребывания у нас в интернет-кинозале, онлайн кинотеатре ULTRADOX!

Недавно смотрели видео онлайн