RUVIDEO

Обзор УЗИ аппарата Samsung HS40 смотреть онлайн

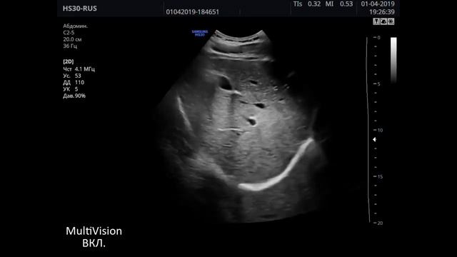
Samsung HS40, он же Samsung Medison HS40 - стационарный ультразвуковой аппарат высокого класса, который знают, пожалуй, все врачи ультразвуковой диагностики. Популярный в своем классе южнокорейский УЗИ аппарат может похвастаться своей универсальностью, превосходной разрешающей способностью, новейшими технологиями визуализации и постобработки ультразвукового изображения. УЗИ аппарат Samsung HS40 легко справляется с оценкой эластичности ткани, трехмерным сканированием объемными датчиками в реальном времени (3D), а также 4D/5D сканированием. УЗИ прибор имеет набор опций для кардиологических исследований, программы для измерений в акушерстве и гинекологии, инновационные технологии и режимы автоматической настройки изображения, что делает HS40 отличным решением для многопрофильных и специализированных медицинских центров. В обзоре ультразвукового аппарата Samsung HS40 клинический специалист компании MEDLIGA Константин Князев расскажет об эргономике прибора, базовых настройках Samsung HS40, для каких исследований подойдет аппарат, а также покажет качество визуализации на примере исследования реального пациента. Samsung HS40 на сайте компании MEDLIGA - https://medliga.ru/products/uzi-apparat-samsung-hs40?utm_source=smm&utm_medium=rutube&utm_campaign=video&utm_content=obzor-knyazev-hs40&rs=smm_rutube_video_obzor-knyazev-hs40 По вопросам медицинского оборудования пишите нам и звоните по тел.: 8 (800) 550-39-27, поможем с выбором необходимой медицинской техники под ваши задачи и бюджет. Подписывайтесь на канал Rutube - https://rutube.ru/channel/26510250/ Вконтакте - https://vk.com/med.liga Телеграм - https://t.me/med_liga 00:05 - Вступление. 00:34 - Направленность исследований УЗИ прибора. 01:03 - Корпус прибора и панель управления. 01:37 - Позиционирование монитора. 01:55 - Датчики Samsung HS40 и разъемы для датчиков. 02:16 - Визуализация. Автоматическая настройка изображений. 02:29 - Структура щитовидной железы. 02:50 - Панорамное сканирование (Panoramic). 02:59 - Визуализация молочной железы. 03:08 - Оценка эластичности ткани Elastoscan. 03:17 - Исследование периферических сосудов. 03:28 - Функция автоматического измерения комплекса интима-медиа (Auto-IMT). 03:40 - Цветная допплерография на Samsung HS40. Спектральный допплер. 03:59 - Исследование конвексным датчиком. Органы брюшной полости. 04:15 - Печень и воротная вена. 04:30 - Визуализация желчного пузыря. 04:42 - Визуализация почки. 05:00 - Исследование органов малого таза на Samsung HS40. 05:35 - Эхокардиография на Samsung HS40. 05:53 - Тканевая цветовая допплерография (TDI). 06:25 - Кому подойдет УЗИ аппарат Samsung HS40. #samsung #medliga #узи #ultrasound
 
 
Рады приветствовать вас в нашем кинозале, у нас собрана огромнейшая база видео файлов и вы всегда сможете найти любой фильм на свой вкус и увидеть его совершенно бесплатно и не нужно регистрироваться. Онлайн просмотр кино стало любимым времяпрепровождением для все киноманов, ведь не всегда есть время, чтобы посетить кинотеатр, но мі собрали огромную базу видео и фильмов, сериалов, мультфильмов для онлайн просмотра. Ваш отдых - это наша работа, мы пополняем нашу базу регулярно и только лучшими и кассовыми фильмами, и все это у нас бесплатно и без регистрации. Наша задача обеспечить просмотр ваших любимых фильмов с максимальным комфортом, без рекламы и в любое удобное для Вас время. У нас собраны лучшее из коллекций всемирного кинематографа онлайн, вы можете смотреть фильмы бесплатно без регистрации , выбирая любимый фильм из нашей коллекции, которая включает в себя копии мировой классики и последние кино новинки. Все посетители выбирая наш сайт смогут найти киноленту по своему вкусу и начать просмотр с удовольствием. Для просмотра видео используются любые онлайн - браузеры установленные на вашем компьютере. Все, что необходимо, чтобы смотреть фильмы онлайн - это хорошее настроение! Не забываемого вам пребывания у нас в интернет-кинозале, онлайн кинотеатре ULTRADOX!

Недавно смотрели видео онлайн